neurocirurgiao em sao paulo neurologista cirurgia de coluna

Neurocirurgia para aneurismas cerebrais SP

Dr. Daniel Gil, especialista em neurocirurgia e tratamentos da dor de coluna. Com mais de 15 anos de experiência, realiza cirurgias avançadas em São Paulo.

A neurocirurgia para aneurismas cerebrais é uma das áreas mais delicadas e importantes da medicina, exigindo extrema precisão, experiência e tecnologia de ponta. Em São Paulo, centros especializados como a Clínica Dr. Daniel Gil se destacam por oferecer tratamentos modernos com uma abordagem humanizada e eficaz. Com mais de 15 anos de experiência, o Dr. Daniel Gil é referência em neurocirurgia, incluindo o tratamento de aneurismas cerebrais com técnicas minimamente invasivas.

Neste artigo, você vai entender melhor o que é um aneurisma cerebral, como é feito o diagnóstico, os principais tipos de tratamento neurocirúrgico e por que buscar atendimento especializado em São Paulo pode fazer toda a diferença.

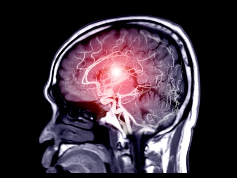
O Que é um Aneurisma Cerebral?

Um aneurisma cerebral é uma dilatação anormal em um vaso sanguíneo do cérebro. Essa dilatação ocorre devido ao enfraquecimento da parede da artéria, que pode se romper e causar uma hemorragia cerebral, condição conhecida como AVC hemorrágico.

Os aneurismas cerebrais podem permanecer silenciosos durante anos e serem descobertos por acaso, mas quando rompem, representam uma emergência médica com alto risco de mortalidade e sequelas.

Sintomas Comuns de Aneurismas Cerebrais

Embora muitos aneurismas sejam assintomáticos, alguns sinais podem indicar risco de ruptura. Fique atento a:

  • Dor de cabeça súbita e intensa
  • Náuseas e vômitos
  • Visão dupla ou embaçada
  • Sensibilidade à luz
  • Perda de consciência
  • Rigidez no pescoço
  • Queda das pálpebras
  • Confusão mental

Em São Paulo, a Clínica Dr. Daniel Gil está preparada para avaliar esses sintomas de forma rápida e precisa, oferecendo suporte neurocirúrgico imediato quando necessário.

Diagnóstico de Aneurismas Cerebrais

O diagnóstico precoce é essencial. Os exames mais comuns incluem:

  • Angiografia cerebral
  • Tomografia Computadorizada (TC)
  • Ressonância Magnética (RM)
  • Angio-RM

Na Clínica Dr. Daniel Gil, localizada em pontos estratégicos de São Paulo como Paraíso, Tatuapé e Alphaville, o paciente conta com acesso a diagnóstico de alta precisão e encaminhamento rápido para tratamento neurocirúrgico.

Tratamento Neurocirúrgico para Aneurismas em São Paulo

A escolha do tratamento para aneurismas cerebrais depende do tamanho, localização e estado clínico do paciente. Em São Paulo, clínicas especializadas como a do Dr. Daniel Gil oferecem opções avançadas:

1. Clipagem Cirúrgica

A clipagem é um procedimento neurocirúrgico tradicional, em que um pequeno clipe de titânio é colocado na base do aneurisma para impedir o fluxo de sangue. Esse método é eficaz e com baixo risco de recidiva, sendo indicado principalmente para aneurismas acessíveis cirurgicamente.

2. Embolização Endovascular (Coilagem)

Trata-se de um procedimento minimamente invasivo feito por cateterismo. Pequenas molas (coils) são inseridas no aneurisma para promover sua obliteração. A embolização é uma excelente alternativa para aneurismas mais profundos ou em pacientes com alto risco cirúrgico.

3. Cirurgias Minimamente Invasivas

Dr. Daniel Gil é especializado em cirurgias minimamente invasivas, utilizando técnicas modernas que reduzem o tempo de internação, minimizam riscos e aceleram a recuperação do paciente.

Por Que Tratar Aneurismas com um Neurocirurgião em São Paulo?

São Paulo é um dos maiores centros médicos do Brasil e da América Latina. Contar com um neurocirurgião em São Paulo garante acesso à tecnologia de ponta, centros hospitalares de referência e equipes multidisciplinares experientes. A Clínica Dr. Daniel Gil se destaca neste cenário por unir:

  • Experiência consolidada (mais de 15 anos)
  • Atualização constante em congressos internacionais
  • Afiliado às principais sociedades de neurocirurgia do Brasil, EUA e Europa
  • Abordagem humanizada e personalizada
  • Atendimento por convênios e particular
  • Localizações de fácil acesso em São Paulo

Abordagem Multidisciplinar no Tratamento de Aneurismas

O tratamento dos aneurismas cerebrais não depende apenas do procedimento cirúrgico. Na Clínica Dr. Daniel Gil, o paciente é acompanhado por uma equipe multidisciplinar que inclui neurologistas, anestesistas, fisioterapeutas e psicólogos, garantindo suporte completo antes, durante e após a cirurgia.

Tecnologias Utilizadas

Na neurocirurgia para aneurismas cerebrais em São Paulo, a tecnologia é uma aliada vital. Entre os recursos usados pela Clínica Dr. Daniel Gil estão:

  • Microscopia cirúrgica de alta definição
  • Neuronavegação
  • Monitoramento neurofisiológico intraoperatório
  • Técnicas endoscópicas
  • Equipamentos de imagem intraoperatória

Essas tecnologias aumentam a segurança da cirurgia e melhoram os resultados a longo prazo.

Pós-Operatório e Recuperação

A recuperação após neurocirurgia para aneurismas cerebrais varia conforme o tipo de procedimento realizado. Em cirurgias minimamente invasivas, o retorno às atividades cotidianas pode ocorrer em poucas semanas. A Clínica Dr. Daniel Gil oferece acompanhamento pós-operatório rigoroso para garantir a recuperação plena dos pacientes.

Localizações da Clínica Dr. Daniel Gil em São Paulo

A clínica possui três unidades estrategicamente localizadas para atender pacientes de toda São Paulo:

  • Unidade Paraíso: Rua Desembargador Eliseu Guilherme, 200 – Salas 602 a 604 – Em frente ao Hospital HCOR
  • Unidade Alphaville: Alameda Grajaú, n° 98 – 18º andar – Barueri
  • Unidade Tatuapé: Rua Vilela, 665 – Edifício Crona – 8º andar

Como Marcar uma Consulta

Pacientes que suspeitam de aneurismas cerebrais ou buscam uma segunda opinião especializada em neurocirurgia em São Paulo podem entrar em contato pelos canais abaixo:

  • Telefones: (11) 2092-5511 | (11) 3021-0687
  • WhatsApp: Disponível no site
  • E-mail: clinicadrdanielgil@gmail.com
  • Atendimento: Segunda a sexta, das 09:00 às 12:00 e das 13:00 às 17:30

A neurocirurgia para aneurismas cerebrais em São Paulo evoluiu muito nos últimos anos, com o uso de técnicas modernas e minimamente invasivas. Contar com um especialista como o Dr. Daniel Gil, que une experiência, tecnologia e humanização no atendimento, é fundamental para garantir segurança e qualidade no tratamento. Se você ou um familiar foi diagnosticado com aneurisma cerebral, agende uma avaliação na Clínica Dr. Daniel Gil e tenha acesso ao que há de melhor na neurocirurgia de São Paulo.

Neurocirurgia para aneurismas cerebrais SP

Neurocirurgia para aneurismas cerebrais SP

Conteúdo