Os aneurismas cerebrais são dilatações anormais nas artérias do cérebro que, se não diagnosticadas e tratadas corretamente, podem levar a graves consequências para a saúde. Essa condição é considerada uma emergência médica, pois o rompimento de um aneurisma pode causar uma hemorragia cerebral, resultando em danos neurológicos permanentes ou até mesmo em morte. Neste texto, vamos explorar o que são os aneurismas cerebrais, seus sintomas, métodos de diagnóstico, opções de tratamento e a importância de contar com uma equipe médica altamente especializada.
O que é um Aneurisma Cerebral?
Um aneurisma cerebral ocorre quando uma área enfraquecida de uma artéria no cérebro se expande ou se dilata, formando uma bolsa. Essa dilatação pode variar de tamanho e, quanto maior for o aneurisma, maior o risco de rompimento. O rompimento de um aneurisma é uma situação extremamente perigosa, pois provoca uma hemorragia subaracnoide, um tipo de sangramento que ocorre entre o cérebro e as membranas que o envolvem.
Principais Causas e Fatores de Risco
Diversos fatores podem contribuir para o desenvolvimento de um aneurisma cerebral, incluindo:
- Histórico familiar: Pessoas com familiares que tiveram aneurismas têm maior risco de desenvolver essa condição.
- Hipertensão arterial: Pressão alta crônica pode enfraquecer as paredes arteriais, aumentando o risco de formação de aneurismas.
- Fumo: O tabagismo é um fator de risco significativo, pois contribui para o enfraquecimento das paredes das artérias.
- Idade: O risco de aneurismas aumenta com a idade, especialmente após os 40 anos.
- Gênero: Mulheres são mais propensas a desenvolver aneurismas cerebrais do que homens.
Sintomas de Aneurismas Cerebrais
Muitos aneurismas cerebrais são assintomáticos até que ocorram complicações, como o rompimento. No entanto, aneurismas maiores ou que pressionam estruturas cerebrais podem causar sintomas, tais como:
- Dor de cabeça intensa e súbita, conhecida como “dor de cabeça trovoada”.
- Visão dupla ou borrada.
- Dor atrás ou acima dos olhos.
- Fraqueza muscular.
- Dificuldade em falar.
- Perda de equilíbrio ou coordenação.
Se um aneurisma se romper, os sintomas são muito mais graves e podem incluir:
- Dor de cabeça extrema e repentina.
- Náuseas e vômitos.
- Rigidez no pescoço.
- Perda de consciência.
- Convulsões.
Diagnóstico e Tratamento
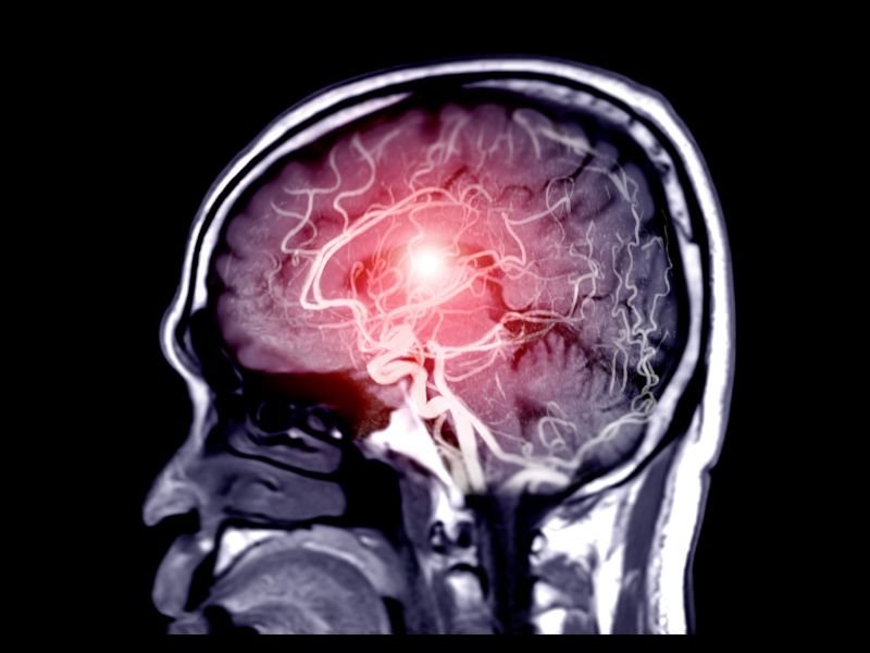
O diagnóstico de um aneurisma cerebral geralmente é realizado através de exames de imagem, como a tomografia computadorizada (TC), a ressonância magnética (RM) e a angiografia cerebral. Esses exames permitem que os médicos visualizem a estrutura das artérias cerebrais e identifiquem a presença de aneurismas.
Opções de Tratamento
O tratamento de um aneurisma cerebral depende de vários fatores, incluindo o tamanho e a localização do aneurisma, além da saúde geral do paciente. As opções de tratamento incluem:
- Observação: Em alguns casos, aneurismas pequenos e assintomáticos podem ser monitorados com exames regulares, especialmente se o risco de rompimento for baixo.
- Clipping cirúrgico: É uma cirurgia em que um clipe de metal é colocado na base do aneurisma para interromper o fluxo de sangue, prevenindo o rompimento.
- Embolização endovascular: Um procedimento minimamente invasivo em que um cateter é inserido na artéria e pequenos espirais de metal são colocados dentro do aneurisma, promovendo a formação de coágulos e selando o aneurisma.
- Cirurgia de bypass: Em casos mais complexos, pode ser necessário realizar uma cirurgia de desvio para redirecionar o fluxo sanguíneo para longe do aneurisma.
A Importância de Contar com uma Equipe Especializada
O tratamento de aneurismas cerebrais exige uma abordagem multidisciplinar e especializada. Na Clínica Dr. Daniel Gil, o paciente encontra uma equipe altamente qualificada e preparada para lidar com as mais diversas patologias neurológicas.
Dr. Daniel Gil: Excelência no Tratamento de Aneurismas Cerebrais
O Dr. Daniel Gil é um dos principais especialistas no tratamento de aneurismas cerebrais. Com uma vasta experiência, ele é graduado pela Faculdade de Medicina da Universidade do Estado de São Paulo – Unesp e possui especialização em Neurocirurgia pelo HC FM UNESP. O Dr. Daniel Gil é também membro titular da Sociedade Brasileira de Neurocirurgia – SBN e da Academia Brasileira de Neurocirurgia – ABNC, além de ser reconhecido pelas Sociedades de Neurocirurgia dos Estados Unidos e da Europa.
Na Clínica Dr. Daniel Gil, o tratamento dos aneurismas cerebrais é realizado de forma personalizada, com foco na segurança e no bem-estar do paciente. A equipe multiprofissional, composta por psicólogos, nutricionistas, enfermeiros e técnicos de enfermagem, garante um atendimento humanizado, que vai além da intervenção cirúrgica, proporcionando suporte integral ao paciente e sua família.
Equipe Multiprofissional: Cuidado Completo e Humanizado
A clínica do Dr. Daniel Gil destaca-se pelo seu atendimento multidisciplinar, que inclui:
- Neurologistas especializados: Para o diagnóstico preciso e acompanhamento clínico.
- Neurocirurgiões experientes: Para a realização de procedimentos complexos com segurança.
- Equipe de suporte: Psicólogos, nutricionistas, enfermeiros e técnicos de enfermagem que atuam em conjunto para oferecer um cuidado integral ao paciente.
Os aneurismas cerebrais são uma condição séria que requer diagnóstico precoce e tratamento especializado. Na Clínica Dr. Daniel Gil, os pacientes encontram não apenas a expertise necessária para o tratamento, mas também um ambiente de cuidado humanizado e integral. Se você ou um familiar apresenta sintomas ou fatores de risco para aneurismas cerebrais, não hesite em procurar um especialista para uma avaliação detalhada. O Dr. Daniel Gil e sua equipe estão preparados para oferecer o melhor tratamento possível, priorizando sempre a segurança e o bem-estar dos pacientes.
